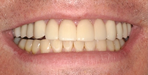
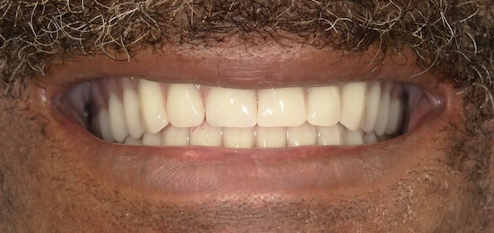
Jerome's Case
Before
After
Jerome came to us referred by our local VA office. His main concern was his teeth were really worn down, and he was experiencing sensitivity and unable to eat properly. Upon our evaluation, we discussed a full mouth reconstruction where we would re-establish his dentition to give it a great aesthetic and functional outcome. Jerome is very happy with his transformation, and we are really proud ofthe end result. Thank you, Jerome, for trusting us with your smile!
Lorenzo's Case
Before
After
Lorenzo came to us wanting a new set of dentures. He had not had any teeth since 1999! After working together on the look and feel of his new teeth, the end result was a super natural looking set of dentures! Lorenzo was thrilled and excited to go out there and start smiling.
Jamie's Case
Before
After
Jamie came in after losing his last teeth and wanted his smile back. After making him a set of conventional dentures, his smile turned out to look very natural and pleasing! Jamie could not stop smiling when he saw them for the first time.
Trinity's Case
Before
After
Trinity came in embarrassed about the yellow and brown stains on her top teeth. After completing white fillings, she could not believe how much nicer and clean her teeth looked!
Scott's Case
Before
After
Scott came into our office looking to rebuild his smile and confidence after a car accident. "I want to be able to smile and feel confident again". After careful planning we were able to get him a result that we all loved, and now, he feels confident to smile again!
Rick's Case
Before
After
Rick came to the office with a dental emergency: "My front tooth broke off and I can not go to work looking like this" We were able to repair his tooth that same day but also suggested to him that he had worn teeth and that he would benefit from a new smile. We planned the case and the result was amazing.
Gregory's Case
Before
After
Gregory's dentures were over 25 years old and had cracks all over. After making him a new set of dentures, Gregory left looking like a whole different person!
Jack's Case
Before
After
Jack wanted a better smile and was not sure what could be done. After a cosmetic analysis, it was determined his bite needed to be rebuilt and crowns were recommended for his top teeth. The end result was phenomenal!
Heudy's Case
Before
After
Heudy had been missing multiple teeth for years and his bite was collapsing. After placing several dental implants, crowns, and bonding, we were able to rehabilitate Heudy's mouth completely. He now brings sweet goodies to our office every time he comes for his cleanings!
Sebastian's Case
Before
After
Sebastian had some broken teeth he wanted fixed. After a comprehensive evaluation, it was recommended to proceed with some extractions, dental implants, crowns, and bridges. After completing treatment, Sebastian could not be happier with the result, and he no longer had to avoid steak for dinner!
Pagination
Get a brighter smile today!
Contact us now to schedule your appointment and have the smile you've dreamed about!